部門紹介
外来
内科、整形外科、小児科、脳神経内科、外科、眼科、皮膚科を開設しています。
「しっかり向き合い、安心な医療サービス」の提供を目指しています。
疾患相談の他にも小児の予防接種、乳児健診、特定健診、人間ドックなど、まずはお気軽にご相談ください。


病棟
2 階フロアすべてが病棟施設 50 床(個室 10総室 4 人 10 室)となっています。
入院から退院後の在宅生活までを継続看護が出来るように多職種と連携しています。
点滴治療を頑張っている人、リハビリを頑張っている人など・・様々な境遇におかれた患者さまが少しでも安心して入院生活が送れるように病棟スタッフが協力し、看護・介護の提供をしています。
訪問看護
訪問看護師は利用者さまのご自宅に伺い看護を提供し、「寄り添う」をキーワードに住み慣れたご自宅での生活を一緒に考え、サポートしていきます。
業務時間:平日 8:30~17:15 訪問地域:旧南勢町地区
[業務内容]
薬剤科
[はじめに]
薬剤科では薬物療法を受ける方の有効性と安全性を確保するために、医薬品の適正使用に努めています。
[調剤業務]
(内服薬・外用薬・注射薬)
適切な薬物療法を行うために、薬の量、薬の重複、相互作用等をチェックしたのち調剤をしています。
[病棟業務]
○病棟薬剤業務
病棟専任薬剤師は医師と協力し薬物療法の有用性、安全性向上のための業務を行っています。
持参薬の確認及び服薬計画の提案やハイリスク薬の投与前の詳細な説明等を行っています。
○薬剤管理指導業務
ベッドサイドで薬剤師が薬の説明をすることで、より効果的に薬物療法を行うことができるように努めています。
検査値や患者さまの訴えから薬が有効に使用されているか確認しています。
[在宅患者訪問薬剤管理指導/居宅療養管理業務]
ご自宅に薬を持って訪問します。本人やご家族の話を聞きながらお薬の説明・服薬状況・管理状況を把握し、適切な薬剤管理ができるように指導を行っています。
[医薬品情報提供業務]
膨大な医薬品に関する情報の中から必要な情報を収集・整理・加工し的確な情報を提供することに努めています。
お薬のことで何かお悩み、副作用等についての質問がございましたらお気軽に薬局窓口までご相談ください。
検査室
[はじめに]
検査室では、安全かつ安心できる、正確で迅速な検査の実施を目指し取り組んでいます。
検査のことで、ご質問などがございましたら、お気軽に臨床検査技師にご相談ください。
[業務内容]
検査室の業務は、採取された血液、尿、便、体液などを測定する検体検査と、心電計や超音波診断装置などを用いて検査を行う生理検査の2つに大別されます。
基本的な緊急検査につきましては、院内にて実施し、細菌検査、病理検査、腫瘍マーカーなどは検査会社に委託しています。
院内取り扱い項目は以下の通りです。
[検体検査]
一般検査 / 血液検査 / 血液凝固検査 / 血液ガス検査 / 生化学検査 / 感染症検査 / 輸血検査
[生理検査]
心電図 / 24 時間心電図 / 24 時間血圧 / 呼吸機能検査 / 脳波検査 / 睡眠時無呼吸検査 / ABI 検査 / 一酸化炭素濃度検査 / 簡易聴力検査
三重県臨床検査精度管理協議会に参加して検査品質の確保に努めています。
2019年11月8日より、従来の基準範囲から JCCLS 共用基準範囲に変更しております。ご了承ください。
[業務体制]
病棟の予約検査は時差出勤にて7時30分より実施、8時30分より外来の検体検査受付をしています。
夜間、休祝日の緊急検査は待機にて対応しています。
リハビリテーション科
当院のリハビリテーション科は、南伊勢町船越の龍仙山を一望できる3階に位置します。
リハビリテーション訓練室は、広さ 134 ㎡であり、窓から山々の豊かな緑を眺めることができ、そこで理学療法士が外来・入院業務にあたっております。
豊富な物理療法機器や歩行支援用具を取り揃え、患者さまに応じた支援を提供しております。
また、広さ 77 ㎡の屋外リハスペースでは、季節の移ろいを感じながら歩行訓練も実施できます。
なお、当院のリハビリテーションのご利用に関しましては、当院主治医までご相談ください。
[施設基準]
・脳血管疾患等リハビリテーション料 Ⅲ
・運動器リハビリテーション料 Ⅱ
・呼吸器リハビリテーション料 Ⅱ
・廃用症候群リハビリテーション料 Ⅲ
訪問リハビリテーション
[はじめに]
様々な理由により身体がご不自由になり、日常生活にお困りの方・外出が困難な方に、当院では理学療法士がご自宅に訪問しリハビリテーションを実施させていただきます。
[リハビリ内容]
1.身体各部の運動
2.寝返り・起き上がり・立ち上がりなどの訓練
3.入浴動作・トイレ動作・食事動作・更衣動作・整容動作などの助言・指導
4.歩行訓練
5.ご家族様・介助者様への介助方法の指導
6.家屋改修や福祉用具導入や使用方法の相談
7.その他
事業実施地域:南伊勢町(旧南勢町)
業務実施日:平日
業務時間:8:30~17:15
休業日:土曜・日曜・国民の祝日・12月29日~1月3日
連絡先:町立南伊勢病院
訪問リハビリ
担当:東川(ヒガシガワ)・一松(ヒトツマツ)
Tel:0599-66-0011
放射線室
[はじめに]
放射線室では放射線などを用いて画像検査を行っています。夜間・休日の検査にも対応し、「地域の皆さまに信頼される、あたたかみのある医療サービスを目指します」をモットーに、適切な被ばく管理の下、安心して検査を受けていただけるよう日々努めています。
検査内容や被ばくについてなど、ご質問がありましたらお気軽に担当技師へお尋ねください。
また、妊娠の可能性のある方や妊婦の方は検査前に担当技師へご相談ください。
[業務内容]
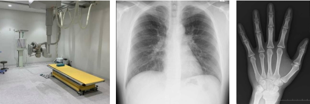
○ 一般撮影
レントゲンとも呼び、X 線を用いて肺や骨など様々な部位を撮影し画像にします。
フィルムレス化により撮影した画像が診察室ですぐ確認できるようになり、パソコン上で撮影した画像を見ることができます。
検査を行う際に服を脱ぐ場合や、下着やアクセサリー類・金属類などを外していただく場合があります。
ご協力よろしくお願いいたします。
○ 骨密度測定
骨の量や密度を測定する検査です。当院では DXA 法(二重エネルギーX 線吸収法)を用いて腰椎と股関節の画像から骨密度を測定しています。
検査時間は 5分ほどかかりますが信頼度が高い検査です。
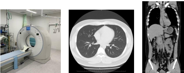
○ CT (Computed Tomography:コンピュータ断層撮影)
X 線を用いて体の輪切りの画像を撮影する検査です。ドーナツ状の機械に入り、体の周りを機械が回転し撮影していきます。
検査はベッドに寝た状態で行い、検査時間も短時間で終わります。
また得られた画像から 3D 画像などを作ることも可能です。
検査を行う際に金属類などを外していただく場合があります。ご協力よろしくお願いいたします。
○ 超音波検査
エコー検査とも呼ばれ、超音波を用いて体の中を観察する検査です。
検査する箇所にゼリーをつけ、その上からプローブと呼ばれる機械を押し当て検査を行います。
超音波を用いた検査のため被ばくはありません。
栄養科
[はじめに]
みなさま、食事でお困りのことはございませんか?
医師から糖尿病と診断されたものの、食事療法ってどのようにしたらよいかわからないと思います。
そのような悩みにお答えするのが管理栄養士による栄養相談、つまり栄養指導です。
患者さまのライフスタイルに合った適切な食生活改善プランを立案し、継続的に実践できるお手伝いができれば幸いです。
当院では、管理栄養士が常勤しておりますので、随時、個人、集団での食事指導も行っております。
[業務内容]
○個人指導 平日(月~金) 予約制
○集団指導
・糖尿病教室(月一回開催)昼食付
・高血圧教室(月一回開催)昼食付
*500 円の負担にて付添いの方にも昼食を提供いたします。
疾患のある方は保険適用となります。
糖尿病、脂質異常、高血圧症、心臓病、肝臓病、胃潰瘍、腎臓病、痛風、貧血、高度肥満症、フェニールケトン尿症、ホモシスチン尿症、ガラクトース血症、小児食物アレルギー症、他
地域連携室
[はじめに]
地域連携室では患者さまに関すること、患者さまの転院、他医療機関での検査、受診等がスムーズに行えるように連絡調整など病診連携の充実を図ります。
[業務内容]
○外来、入院患者さまの他の医療機関への受診予約、検査予約
外来診察時、入院中に当院以外で専門的な治療、精密検査等が必要となった場合に、予約等の調整を行います。
○他の医療機関からの診療情報提供書、報告書の受付
他機関から郵送された書類や、直接ご持参いただいた書類を分類整理します。
○他の医療機関等から紹介された患者さまが受診・入院等をされたとき、紹介元の医療機関等に、当院にて受診・入院等をされたことを伝える報告書を作成しFAXします。
○入院調整のためのご家族様との面談
退院される患者さまへの介護保険の説明、ケアマネージャーとの連絡調整等を行い、患者さまが安心して退院していただけるよう支援します。
